No, it is about an actually really real magic bullet that struck Belle (not her real name™). So delete your nastygram, sit back down, and stay tuned.
Let me first take you back a couple of weeks before I met Belle. My previous call before Belle's I had gotten a stabbing victim at 8 PM who needed a laparotomy. The call before that I got a car accident victim at 7:30 PM who needed a laparotomy. The call before that I had gotten a fall victim at 7:45 PM who had needed a laparotomy. Cases like these are relatively rare, so getting three in a row at essentially the same time of day is extremely uncommon. But as we all know, bad things tend to happen in threes. Or fours.
Yes, that's foreshadowing.
Now fast forward back (forward?) to the present. I was in the midst of getting over a cold, so I started my day by nearly begging the Call Gods to let me off easy. In retrospect this was a Very Bad Idea. About halfway through the shift the Call Gods proved that not only are they evil and vengeful, but they are also cold and heartless and have no goddamned regard for my feelings. Not that I ever suspected they did.
My pager told me I would be getting a level 1 gunshot victim in 5 minutes. I looked at the clock, and when I saw it was 7:50 PM, I actually looked up at the sky (because somehow in that moment I figured that's where the Call Gods were hanging out and laughing their cruel, heartless asses off) and vigorously and repeatedly cursed them with every single bit of foul language my brain could come up with. Then I took a deep breath and realised I had a job to do, and imprecating some nebulous nefarious fantasy creatures would help neither me nor my patient in the slightest.
Sigh . . . yet another call where I'll be in the operating theatre at 9 PM, I thought. At least it isn't 2 AM, right?
Belle arrived a few minutes later, and while she didn't necessarily look close to death, she was certainly having some difficulty breathing.
"Hi Doc, 29 year old woman, single gee-ess-double-you to the right back. Blood pressure has been stable, oxygen sats in the 90's, but decreased breath sounds on the right."
My initial evaluation lined up perfectly with theirs - she had a single gunshot wound to the right mid-back with no exit wound. This bodes poorly because I have no idea what direction the bullet was traveling when it hit her or what happened to it once it did. On examination her heart sounded fine, but she had no breath sounds on the right, a sign that she had either a pneumothorax (collapsed lung), haemothorax (blood in the thoracic cavity), or both. Fortunately the treatment of both of these problems is the same - a chest tube. But whenever there is an entry wound with no exit, the main two questions I always have to answer are:
- Where did the bullet go?
- What did that bullet go through?
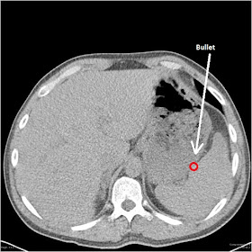
The bullet was overlying the left upper abdomen.
GOD DAMN IT. FUCK YOU, CALL GODS. FUCK YOU TO WHATEVER HELL I CHOOSE TO BELIEVE IN RIGHT NOW.
There are a lot of Very Important Structures between the right mid-back and the left upper abdomen, not the least of which are the right lung, heart, aorta and other great vessels, œsophagus, stomach, liver, duodenum, pancreas, spleen, and diaphragm. Holes in any of those things are by definition Very Bad Things, and holes in a few of them can be rapidly fatal, though obviously she shouldn't have any of those.
Maybe. Probably. At least she wasn't dead yet.
The problem is that an X-ray can't tell me if the bullet is in the soft tissue of the back (which would be fine), the soft tissue of the front (which would be much less fine, since it had to go through the entire body to get there), or somewhere in between (which would also be not at all fine), nor can it tell me what the bullet went through to get there. If the bullet was just in the soft tissue of the back, all she would need is a chest tube and no major abdominal or thoracic surgery. But you've already seen me foreshadow, so you know goddamned well that's not what happened.
A chest tube was rapidly inserted, and about 600 ml of blood drained immediately then stopped. While this sounds pretty bad, that's actually not a huge amount, and the fact that it stopped means there was no active bleeding from the chest. Good. Since her blood pressure and heart rate had remained essentially normal, I had time to get a CT scan for further evaluation.
It didn't answer my questions, it only muddied the waters further.
![]() |
| Not Belle's abdomen |
Weeeeell, shit. To the theatre we go. Again.
It was 8:30 PM. Because of course it was.
I re-examined her after the scan and just before wheeling her to surgery, and indeed her left upper abdomen was now mildly tender. Certainly no signs of peritonitis (yet), but the exam was decidedly different than it had been just a few minutes before. I told her she needed emergent surgery to find out what damage the bullet had done, and then (hopefully) fix it. As I listed off the potentially injured organs, I gave her no guarantee that she would survive the surgery just like I do with every such patient, because no matter what I suspect and no matter what I find, it is always both a challenge and a surprise. Belle seemed to take the news well: "Just do the best you can, doctor" was all she said.
I promised her nothing more and nothing less than that. And while I did get a surprise, it was just not the one I could have anticipated:
Nothing.
I found absolutely nothing. I was expecting to find a hole in her stomach with spilled gastric contents, a diaphragm laceration, liver laceration, lacerated intestine, perhaps a lacerated spleen. But there was no blood in her abdomen, no spillage of food, no injury to any organ whatsoever. NOTHING.
Well, almost nothing. I did find one thing.
Knowing the bullet was somewhere in her left upper abdomen, I reached up into that area expecting to find a free-floating bullet between her stomach and spleen like I saw on the CT. I found the bullet alright, and it was indeed free-floating. In her stomach.
IN HER STOMACH.
Wait, what?? How the fuck did that get there? There are only three possible mechanisms for a bullet to get into the stomach:
- swallow it,
- go through the stomach wall, or
- go through the œsophagus and drop in.
I made a small incision in her stomach to retrieve the bullet, which was deformed from having passed through soft tissue (and bouncing off a rib), so option 1 was definitely out. I searched for at least an hour trying to find a hole in the stomach, looking at every square millimetre of its surface, both back and front, top and bottom. Nothing. So option 2 was out. That only left option 3 - through the thoracic œsophagus with the bullet simply dropping into her stomach. But that would mean the bullet would have had to have juuuust enough energy to get in one wall of the œsophagus, stop, and then fall.
I wasn't buying it, but I had absolutely no other ideas. I took one last look at the stomach wall, but I once again came up empty. Since she had a nasogastric tube traversing the supposed area of injury in the œsophagus, I decided to close her abdomen and look for the injury another way.
My first study immediately after surgery was a CT œsophagram. Contrast was instilled into her œsophagus, and as the scan was done I should be able to see the leaked contrast, showing me exactly at what level the injury was. NOPE. That study, just like her surgery, was completely normal. NORMAL! Usually I want normal studies, but in this case I just wanted to find the goddamned hole.
Hmmm.
The next morning Belle was doing fine, awake, talking, minimal abdominal pain from her incision. Still no signs of peritonitis (or pleuritis, for that matter), and no further bleeding from her chest tube. She was very understanding as I explained how I was still trying to find how the hell this bullet got into her stomach, and that the next test would be an upper endoscopy. Later that day the endoscopist looked at every square centimetre of the inside of both her œsophagus and stomach. NOTHING. No blood, no injury, no hole. Nothing. NOTHING!
Hmmmmmm.
There had to be a hole there! Where the hell is the goddamned hole?
My final study, my last chance, was a swallow study under fluoroscopy. Belle swallowed oral contrast and the radiologist watched it under real-time fluoroscopy. THAT will definitely show me the site of the injury leaing. It will show the injury, right? RIGHT??
Nope. It was normal. Negative. Nothing. There was no hole anywhere.
FUCKING HMMMMMMMMMMMMMMMMMMMM
Over the next 4 days Belle had what I can only call a completely normal recovery from a completely abnormal surgery (her chest tube was removed on day 3). By her fifth day in hospital, she had essentially no pain, she was eating, she was pooping, she was walking, and she was ready to go home.
I saw her back in my office a week later, and she was continuing her totally normal recovery. I tried (and probably failed) to explain how bizarre a situation this was, and that she was a once-in-a-career type of patient. Sure I've seen other patients who probably should have sustained some kind of damage based on their mechanism of injury but didn't, but never something like this. And I probably never will again.
Belle just laughed and said "Thank you for saving my life."
I was not and still am not sure I saved anything (except maybe her lung).
I have presented this case to literally every other trauma surgeon at my hospital, a few trauma surgeons from other hospitals, a few trauma surgeons from other countries, and DadBastard (who you may remember was a general surgeon for several decades). Not a single one has been able to offer me any insight as to how the FUCK this actually happened other than "Well, I guess it was a magic bullet".
So I offer it to you folks. HOW THE HELL DID THIS HAPPEN?

No real idea, but a question... Do you know how close the shooter was? I ask because fired bullets are very hot and maybe (?) if it was close enough, maybe it cauterized the hole it made... maybe? Just guessing. I have observed a Human Remains Detection dog (ie cadaver dog, but specialized in trace detection), find a bullet that was shot through, presumably the bullet picked up enough tissue to make that residue detectable. The dogs are sensitive, we've shown that they can find individual avulsed human teeth (published in Journal of Forensic Sciences). Just a thought... Great article, thanks.
ReplyDeleteWell what if aliens were involved....
ReplyDeleteIn all seriousness id see about getting this published somewhere (with Belle not her real names permission of course) like a scientific journal or some kind of minor study.
Like you said this is a once in a lifetime extraordinary event.
Whether or not it could be studied further (since if theres no sign of how it happened in short term long term isnt just unlikely its nearly impossible) its a curiosity that would stand out and be used as an example of just how strange things can get.
Most of the time things get worse...sometimes theres literally nothing to do as the job finished itself i guess.
Reminds me of an old joke: a pregnant woman is at a bank when a robbery happens and during the commotion shes shot 3 times in the stomach. She goes to the hospital and they tell her that despite hitting her unborn children they are fine and she is fine, and tell her the bullets based on where they landed will likely pass through the urinary tract sometime in oh probably their teens. (Its a joke just go with it)
ReplyDeleteSure enough 13 years later her eldest daughter comes up to her and says "mom you wont believe it i was peeing in the toilet when i heard a clink and a bullet fell out!" The mom laughed and told the story.
A few days later her 2nd daughter came up to her and said "mom you wont believe it i was peeing in the toilet when i heard a clink and a bullet fell out!" Again she laughed and told her the story.
The next day sure enough her son came up to her sheepishly and said "mom ive got something to tell you..."
"Let me guess you were going to the bathroom and a bullet fell out?"
"I was jacking off and shot the dog"
Interesting...
ReplyDeleteLike you said there are three possible scenarios.
1. Swallowing it. Nope.
2. Go through the esophagus and drop in. There was no damage so it can be safely ruled out. It's also just so improbable it's just not possible.
3. It penetrated the stomach wall. I'm gonna go with it penetrated the stomach wall, it just didn't leave a hole in the stomach lining. There's no rule saying it would leave hole and given the evidence, there's no reason to believe that it should.
We know that at the time of the CT scan the bullet was lodged between the spleen and the stomach. So the bullet could have lodged itself into the stomach lining past the muscular layers and breaking the submucosal blood vessels which explains the active bleed within the stomach, but no hole.
So how did the bullet get there? It's not like poking a hole into a grocery bag. Sure most of the time kinetics favor that kind of analysis. In this case it's more like fitting a watermelon into your asshole. It simply passed slowly through the inner layers like a bullet embolism into the stomach. Although in this case instead of like a bullet embolism it just got into the stomach instead.
https://www.ncbi.nlm.nih.gov/pmc/articles/PMC3731686/
Just my dumb premed theory, enjoy laughing at it. :D
the RFO thread is a couple months back.
DeleteActive transport.
ReplyDelete"she really is a funny girl, that belle"
ReplyDeleteIs it possible that the bullet in her stomach was not the same one with which she was shot? Could she have swallowed a bullet (for some unknowable reason) prior to the incident?
ReplyDeleteIf she had surely shed of mentioned it
Deleterelated to wolverine?
ReplyDeleteX2 is all grown up now i guess?
DeleteSo whats the mystery? You saw bleeding in the stomach on the scan. It went through the stomach lining. You just didnt see it by visual inspection. What are you going to believe, the CT scsn or your lying eyes?
ReplyDeleteA hole in the stomach leads to stuff leaking out of the stomach, and that didn't happen.
DeleteMy guess is the bullet enter her lung, she cough than the bullet comme back up and she than swallow it with some blood by accident
ReplyDeleteThat is almost reasonable, but that didn't happen.
DeleteCoughed deformed bullet should have damage vical cords. Do you remember her voice, doc?
ReplyDeleteAs a thoracic surgeon, I seriously doubt your story. It sounds like you made up this storry.
ReplyDeleteAs a trauma surgeon, I seriously doubt you are a thoracic surgeon. While I tend to embellish details somewhat, this story is 100% true.
Deletehttp://www.docbastard.net/
ReplyDeleteI just mused to myself, gee, I haven't seen a blog post from Doc Bastard in a while, and came here and read this. However, it's September, and I hope all is well with you!
ReplyDeleteI love your writing. Keep up the great work, you know, saving lives and then sharing it with us!
Even your Twitter thingy has gone a bit quiet. Hope all is well...
ReplyDeleteHmm. This appears to be the longest hiatus between posts I've seen yet. Though there's probably confounders we haven't taken into account. Little Bastards aren't so little. Sports? School? DaTiNg?? I too hope Doc's doing alright. I get the feeling he's been too busy to hang out with us like he used to.
ReplyDeleteThe most likely thing is what hes said have been for the past few hiatuses(sic?)
DeleteHe simply cant think of anything new to write.
My weekly routine is never the same without docs posts
There's another Jahi McMath being fought over. This kid https://www.facebook.com/groups/2034103780068665/ is being supported by the same group that pushed the "Jahi is not brain dead" message https://youtu.be/rQUlbVI9Ig4 of this group http://www.lifeguardianfoundation.org/
ReplyDeleteI think that NJ changed the law after McMath? That you can't be moved from another state if you've been declared brain dead, you have to become brain dead there to stay on life support and if you leave the state for treatment and return, no hospital is required to take you. I don't know if that's the truth but if that is how it was changed, thank goodness.
Princeton also published an article that opened with the old lie about Jahi moving on command:
Deletehttp://www.dailyprincetonian.com/article/2019/10/professors-ponder-brain-death
umm... doc? your back issues seem to have gotten SPAM cancer...
ReplyDeletetotally get how intense uni workloads can get, especially when you're juggling part-time jobs too. A while back, I got stuck on a Java assignment and didn’t know where to turn. Someone recommended Native Assignment Help Australia and I haven’t looked back since. If you ever Help with Assignment Writing trust me—they’ve got real people who know what they’re doing
ReplyDeleteThe Free Word Counter Tool UK is an essential online resource designed to simplify word count tracking for writers, students, and professionals across the United Kingdom. This user-friendly tool instantly calculates the number of words, characters, sentences, and paragraphs in any text, ensuring precision and ease for all your writing needs. Whether you're crafting an academic essay, a blog post, or a social media caption, the Free Word Counter Tool UK helps you stay within word limits while maintaining content quality. Accessible on any device without the need for downloads or sign-ups, this tool offers real-time results. Simply type or paste your text into the intuitive interface, and the Free Word Counter Tool UK displays accurate metrics immediately. Beyond basic counting, it provides additional insights like keyword density and readability scores, making it ideal for SEO specialists, digital marketers, and content creators aiming to optimize their work for search engines or social platforms like X, Instagram, or LinkedIn. For UK students, the Free Word Counter Tool UK is a game-changer for meeting strict academic word count requirements, whether for essays, dissertations, or personal statements. Professionals benefit from its ability to streamline the creation of concise reports, proposals, or cover letters, typically requiring 250–400 words. Bloggers and freelancers can ensure their content aligns with SEO best practices, such as crafting meta descriptions or blog posts of 1,000–1,500 words for optimal engagement.
ReplyDelete
ReplyDeleteAchieve academic success with expert "Write My Assignment" help by Assignment Mentor. Our professional writers deliver high-quality, plagiarism-free content tailored to your university requirements—on time, every time.
Expert Write My Assignment Help for Academic Success