This was no ordinary pneumonia. This was . . . well, just look for yourself. Here is what a normal chest X-ray looks like (unceremoniously stolen from Wikipedia):
Notice the nice clear lung fields. Notice how there is no vicious, nasty plague abiding in there. Now, compare that to this:
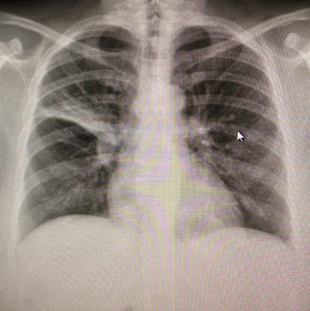
That is my wife's actual chest X-ray last week when she was first admitted. Almost the entire right upper lung (that's on the left of the picture, by the way) is involved with some kind of evil nastiness. What you can't see (that the CT scan showed) is that in addition to a very dense consolidation of her entire right upper lobe, she had areas of pneumonia in the left upper lobe, lower lobe, and lingula as well. That explains why she was having fevers, chills, and a nearly-constant cough. And THAT is what she was living with while still going to work, making dinner, doing laundry, and taking care of her family.
After three days of intravenous antibiotics, her X-ray had already improved to this:
It's still markedly abnormal, but by this point she was breathing much more easily, her white blood cell count had nearly normalised, and she was ready to come back home to me. It takes nearly a month to recover fully from pneumonia - in the meantime it feels like you've been run over by a very large truck.
But she's still trying to make dinner and do laundry despite my protests.



Glad to here she is doing better doc! Was wondering why it was so windy in my end, must've been from your sigh ;)
ReplyDeleteYour wife is a war horse, if I do say so myself, I hope you know a tree fell in my backyard due to your sigh, AKA wind. Hope your wife recovers fully, pneumonia is horrible and feels more like a stampede of elephants on your chest
ReplyDeleteGlad she's ok. My dad lost a lung from pneumonia, so I know how scary it must have been for you.
ReplyDeleteWoah she is one tough cookie! So glad to hear she is doing better I've been waiting for an update!
ReplyDeleteI'm glad to know she's pulled through. Please take it easy, Mrs. so you can recuperate
ReplyDeleteGlad she is home and healing. Keep her on an even keel and remind her to rest. My 89 year old Mom caught the beast that has been going through our family. Augmentin to the rescue.
ReplyDeleteMrs. B is a tough lady—and I kind of understand where she's coming from. No one cares for her family like SHE can!
ReplyDeleteWhen she's all better, methinks it's time for a vacation... somewhere warm and tropical, with pristine beaches and adult beverages with little paper umbrellas in them.
Usually takes a month to recover? She should be good in a couple days, a week max.
ReplyDeleteThat nasty strep pneumoniae... >:(
ReplyDeleteGlad to hear she's doing so much better Doc! x
I'm SO glad to hear your lady is better. Try to keep her off her feet for some more time. Invite your MIL if you have to - she is probably the only person who in your wifes eyes does the household chores as good as she does. Plus your MIL is likely as concerned for her daughters' well-being as you are and would drag her back to bed if she has to.
ReplyDeleteOmg how was she even breathing?? You married a trooper, thats for sure. I bet at the same time you were worried you were also proud of how strong she is.
ReplyDeleteWell done Mrs B'! Now please rest a while - you'll turn half the western world int nervous wrecks if you have to go in there again!
ReplyDeleteGlad it's all looking so much better.